

Are you looking for the best teeth whitening in Medford, OR?
Everyone loves the idea of a beautiful, bright white smile. Almost anyone you ask will tell you that they have tried some form of over-the-counter whitening or even a “professional” whitening system at some point in their lives and have gotten less-than-satisfactory results. Larson Creek Dental is proud to offer the newest, most revolutionary and effective whitening system ever developed: KöR Whitening Deep Bleaching System.
Are you looking for ways to whiten and brighten your smile? If so, you are not alone. Nearly everyone will have experimented with over-the-counter teeth whitening, with less than impressive results. Larson Creek Dental is proud to offer the newest and most effective whitening procedure available: The KöR Whitening Deep Bleaching System.
Teeth naturally discolor with age because of years of wear and tear, foods and beverages with staining agents, hormone issues, tobacco use, certain medications, and the list goes on. It happens to the best of us. The good news is that KöR teeth whitening delivers incredible whitening results, restoring the dazzle to your smile.
Teeth whitening systems across the board use the same basic science to achieve results. Discoloration typically results from large pigment and stain molecules becoming trapped inside the tooth’s structure. The larger the molecules are, the darker the discoloration appears. Whitening systems use peroxide-based bleaching gels, which break down into free radicals that attach to and lift stains off the teeth.
KöR teeth whitening is widely recognized as the world’s most effective whitening system, delivering predictably exceptional results every time. It works by restoring your teeth’s youthful ability to absorb oxygen. When oxygen from the whitening gel is absorbed deeply into the teeth, it dissolves and virtually erases the stain molecules.
KöR is the only whitening system available that is refrigerated from the moment it is manufactured until it is placed on your teeth, ensuring absolute freshness and effectiveness. Most teeth whitening systems are effective for 25-35 minutes due to the nature of saliva, which contains powerful antioxidants that destroy peroxide. With KöR, you will get scientifically designed trays that are engineered to seal out any saliva while the gel does its magic on your teeth. As a result, the peroxide gel does not get contaminated and can be allowed to stay on your teeth for up to 10 hours at a time. This lengthy whitening period is key to KöR’s effectiveness.
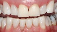
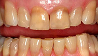
Unlike other teeth whitening methods, KöR whitening is permanent with easy and periodic home maintenance, even if you drink beverages such as coffee, tea, or red wine. KöR Whitening is so effective that it is the only recognized system in the world to whiten tetracycline-stained teeth, previously thought to be impossible.
If you want a proven, thorough, and complete teeth whitening program, look no further than our KöR program. Your teeth will be completely free of stains and will look sparkling, white, and new!
We will start with making molds of your teeth to have your customized, ultra-comfortable KöR-Seal whitening trays fabricated. A consultation with our trusted team at Larson Creek Dental will help you select the level of KöR Whitening that is a proper fit for you.
During a follow-up appointment, you will receive your custom made teeth whitening trays, KöR whitening gel, a desensitizing gel, and instructions on how to use your KöR Whitening Deep Bleaching System. Patients typically wear their KöR whitening trays at home for two weeks during sleep.
After your two weeks of at-home teeth bleaching, you will need to return to our office for an in-office whitening session, which will be between one and two hours in length. Once you achieve the desired results, we recommend periodic at-home maintenance to help keep your teeth permanently white and bright. That involves wearing your custom trays one night each month.
With KöR Whitening, you can expect dramatic results, with whitening up to 16 shades or more. Although everyone is different, the revolutionary KöR whitening system leaves all teeth with stunning results!
An excellent way to check if teeth whitening would benefit you is a simple test called the napkin test. Simply hold a white napkin up to your teeth. If the color of your teeth is significantly more yellow or brown than the napkin, you may need teeth whitening. Most people are shocked at how discolored this test makes their teeth appear!
Whitening with KöR is an incredibly effective process, but it requires a commitment. Every step matters, so compliance is critical. KöR is best suited for patients with tough, stubborn stains, and those who have undergone other methods of whitening with no success. It also works to lift off tetracycline stains and is the choice method of whitening for patients who desire ultra white teeth.
Whitening products have been clinically tested and studied, and have been safely used on millions of patients without harm to their teeth or gums. It is considered to be one of the safest cosmetic dentistry procedures when carried out under professional supervision.
While some patients report mild discomfort and sensitivity during the treatment, these side effects soon resolve without the need for intervention. Patients who do feel some sensitivity using KöR Whitening will typically experience no more than 10 percent of the sensitivity they would experience using other whitening gels.
We are committed to providing our valued patients with quality services utilizing the best and most modern technology and techniques. We look forward to helping you achieve the white, bright smile you desire.